Mit der OCT-Untersuchung hat der Augenarzt erstmals die Möglichkeit, die einzelnen Schichten der Netzhaut,
ähnlich eines histologischen Schnittes, darzustellen. Die Untersuchung ist außerordentlich wichtig bei der
Diagnosefindung und Abklärung von krankhaften Veränderungen der Netzhaut oder des Sehnervs. Sie ist aus
keiner Augenklinik mehr wegzudenken!
Die Messung erfolgt mit Hilfe von unschädlichen Laserstrahlen, die durch die Pupille auf die Netzhaut gesendet werden. Das Licht wird von den verschiedenen Schichten der Netzhaut zurückgeworfen und transportiert Informationen über deren Dicke und Struktur zurück zum Gerät, ähnlich einer Ultraschalluntersuchung. Der Computer erstellt daraus Informationen, die mit Normdatenbanken verglichen werden, um Veränderungen bereits in einem frühen Stadium sichtbar zu machen.
Den Kopf bequem in einer Kopfstütze liegend, blicken Sie auf ein kleines bewegliches Fixierlicht im Gerät. Die Untersuchung ist schmerzlos, ungefährlich und dauert nur wenige Minuten.
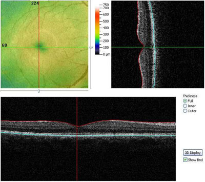
Die Schichten der Netzhaut sind als ebenmäßige Linien zu erkennen. Im Zentrum, der Stelle des schärfsten
Sehens ( Fovea), ist die Netzhaut am dünnsten. (Man sieht hier eine leichte "Einbuchtung".)
Die zentrale "Einbuchtung" ist verloren gegangen. Die Netzhaut zeigt sich abhängig von der Erkrankung verdickt, verdünnt oder unregelmäßig verändert. Einlagerungen/Ablagerungen, wie sie z.B. bei der trockenen Makuladegeneration auftreten, können genau dargestellt werden. Ein wichtiges Indiz für die (beginnende) feuchte Makuladegeneration ist eine Flüssigkeitseinlagerung oder Blutung in der Netzhaut. Auch diese Veränderungen können exakt dargestellt werden. Auch für Verlaufskontrollen, nach erfolgter Behandlung, ist es eine unverzichtbare Untersuchung.
Muttermale der Aderhaut, die meist einen Zufallsbefund darstellen, können genau vermessen und dokumentiert werden. Verlaufskontrollen sind auf diese Weise möglich. Ein Indiz für die seltene Entartung in ein Melanom, kann Flüssigkeit unter der Netzhaut im Bereich des Tumors sein. Auch das kann frühzeitig mit dem OCT erfasst werden.
Veränderungen des Glaskörpers nahe oder auf der Netzhaut, "Häutchen" auf der Netzhautmitte oder (Pseudo)Löcher können ebenso zur Darstellung gebracht werden.
Bei dieser Erkrankung verändert sich der Sehnervenkopf, die Papille. Die Nervenfaserschichten schwinden. Die Nervenfaserschicht wird in der Umgebung der Papille dargestellt, vermessen und mit Normdatenbanken verglichen. Das OCT bietet die Möglichkeit Nervenfaserschäden lange vor einem Gesichtsfeldausfall zu erkennen und eignet sich optimal zur Verlaufskontrolle bei chronischen Glaukomen.
Die Dicke der Hornhaut und die Größe des Kammerwinkels werden berührungslos vermessen. Dies ist hilfreich beim Glaukom und verschiedenen Hornhauterkrankungen.
Das OCT stellt die Erkrankung exakt dar, bietet eine Auswertung über den zeitlichen Verlauf und ist unverzichtbar bei der Entscheidung, welche Therapiemaßnahme erfolgen soll!